Можно ли острый лимфолейкоз выявить на ранней стадии?
Для многих видов онкологии постановка диагноза на начальном этапе заболевания значительно повышает эффективность лечения. Но в настоящее время нет специальных тестов, рекомендованных для диагностики лейкоза острого лимфобластного на ранней стадии. Лучший способ обнаружить заболевание – сообщать о любых возможных признаках и симптомах лейкемии сразу врачу. Людям с повышенным риском из-за наследственных недугов специалисты рекомендуют проходить регулярные медицинские осмотры.
Если вы рассматриваете варианты диагностики лейкоза за рубежом, наша компания, медицинский сервис «Tlv.Hospital», может помочь в решении этой задачи.
Мы предлагаем превосходный вариант диагностики в Израиле и сможем обеспечить безупречную организацию обследований в профильной клинике страны. «Tlv.Hospital» работает на рынке медицинского туризма более 10 лет, мы осуществляем сотрудничество с семью частными и государственными учреждениями страны и являемся их официальными представителями.
Узнать больше об особенностях диагностики и лечения в Израиле можно в статьях о «медицинском туризме» и «возможностях частных и государственных больниц для иностранных пациентов».
Для диагностики лейкоза острого лимфобластного проводятся следующие виды тестов в Израиле.
Сбор анамнеза и физикальное обследование
При наличии признаков врач в Израиле захочет получить полную историю болезни и информацию о воздействии каких-либо факторов риска. Во время медицинского осмотра обратит особое внимание на увеличенные лимфатические узлы, кровоподтеки или области кровотечений, возможные признаки инфекций. Тщательно будет осматриваться кожа, область рта, глаза, печень и селезенка.
Лабораторная диагностика лейкоза острого лимфобластного в Израиле
Если есть подозрения на лейкоз, проверяются образцы клеток крови и костного мозга для подтверждения диагноза.
Анализы крови
Образцы крови, как правило, берут из вены.
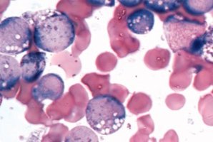
Выполняется клинический анализ крови: измеряется число разных видов клеток. Кроме того, исследуется мазок периферической крови под микроскопом. Изменения в количестве и во внешнем виде клеток помогают диагностировать лейкоз.
У большинства пациентов слишком много незрелых лейкоцитов – лимфобластов, которые, как правило, не функционируют как зрелые лейкоциты и не обнаруживаются в крови, а также недостаточное количество эритроцитов и тромбоцитов.
Может быть проведен анализ на свертываемость крови.
Биохимические анализы крови не используются для диагностики лейкоза. Их применяют для выявления нарушений, вызванных проблемами с печенью или почками из-за распространения лейкозных клеток или побочных эффектов некоторых химиотерапевтических препаратов.
Даже если эти анализы подтверждают подозрение на лейкоз, диагноз ставится после исследования образцов клеток костного мозга.
Клиники Израиля располагают современным диагностическим оборудованием, на постоянной основе осуществляется его обновление. Израиль занимается разработкой и поставкой на мировой рынок медицинской техники для лечения и диагностики – томографов, сканеров, лазеров и пр. Кроме того, страна является лидером по патентам на медицинскую технику.
Исследование костного мозга
Аспирацию и биопсию при диагностике лейкоза в Израиле обычно проводят в одно время. Как правило, образцы берут из подвздошной кости таза, в некоторых случаях из кости грудины или других костных тканей.
В случае проведения аспирации пациент находится в положении лежа на боку или на животе. Перед инъекцией применяется местный анестетик. С помощью тонкой полой иглы из костного мозга врач извлекает небольшое количество жидкости. Возможны кратковременные болевые ощущения.
Биопсию костного мозга проводят сразу после аспирации. Посредством иглы большего размера удаляется небольшой кусочек кости и костного мозга. Данные процедуры применяют для диагностики лейкоза, а также с целью проверки эффективности лечения.
В ходе исследования изучают размер, форму и другие признаки лейкоцитов, классифицируют их в определенные типы. Выясняется процент незрелых лимфоцитов. При диагностике лейкоза этот показатель может быть от 20 до 30%. Для здорового человека он составляет не более 5%.
В некоторых случаях этих исследований недостаточно, и применяются другие лабораторные тесты.
Цитохимия в диагностике лейкоза острого лимфобластного в Израиле
При проведении цитохимических тестов на клетки воздействуют специальными химическими красителями, которые вступают во взаимодействие только с некоторыми типами лейкозных клеток. Изменяется цвет патологических элементов, и это можно увидеть под микроскопом, чтобы определить вид лейкоза.
Проточная цитометрия и иммуногистохимия
Проточная цитометрия при диагностике лейкоза обнаруживает определенные вещества (рецепторы) на поверхности клеток, которые помогают определить тип лейкоза. Образец клеток обрабатывают специальными антителами, которые прилипают к клеткам, если упомянутые вещества присутствуют на поверхности. Затем клетки облучают лазером, и они становятся флуоресцентными. С помощью компьютерного оборудования производятся измерения и анализ.
В иммуногистохимических тестах также применяются специальные антитела. Но вместо лазера и компьютера определенные типы клеток обрабатываются таким образом, что изменяют цвет, если рассматривать их под микроскопом.
Эти тесты могут быть использованы для иммунофенотипирования – метода, используемого для точного определения типа лейкоза. Разные виды лимфоцитов имеют различные антигены (маркеры) на поверхности, которые могут измениться, когда клетка созревает. Лейкозные же клетки имеют одинаковые антигены. Лабораторные анализы на антигены является точным способом диагностики лейкоза в Израиле.
Цитогенетика в диагностике лейкоза острого лимфобластного
Под микроскопом изучают хромосомы в лейкозных клетках на предмет каких-либо изменений. Здоровые клетки человека содержат 23 пары хромосом, каждая из которых имеет определенный размер. В некоторых случаях заболевания лейкозом хромосомные изменения можно увидеть под микроскопом.
Например, 2 хромосомы могут обменяться фрагментами, так что часть одной из них прикрепляется к другой. Это изменение называется транслокацией, и его можно увидеть с помощью микроскопа. Большинство хромосомных мутаций у взрослых являются транслокациями. Наиболее распространенная - между 9 и 22 – встречается у одного из четырех взрослых.
Информация о транслокациях может быть полезна, чтобы спрогнозировать реакцию организма человека на лечение. Поэтому большинство врачей обращаются к данному виду диагностики лейкоза.
Цитогенетическое исследование обычно занимает от 2 до 3 недель, потому что лейкозным клеткам необходимо вырасти, чтобы их хромосомы можно было увидеть под микроскопом. Данный тест применяют при изучении образцов костного мозга, при анализе крови.
Однако не все хромосомные изменения можно увидеть с помощью микроскопа. Другие лабораторные тесты часто помогают их найти.
Флуоресцентная гибридизация in situ (или метод FISH) в диагностике лейкоза острого лимфобластного в клиниках Израиля
Еще один тип хромосомного теста. Для этого применяются специальные флуоресцентные красители, которые присоединяются к определенным генам или частям отдельных хромосом. С помощью данного метода можно обнаружить изменения, которые визуализируются в стандартных тестах, а также те, которые слишком малы, чтобы их можно было увидеть посредством обычного цитогенетического анализа.
Флуоресцентную гибридизацию применяют для изучения образцов крови и костного мозга, иногда – лимфатических узлов. Анализ отличается высокой точностью, для получения результата требуется несколько дней, он выявляет определенные генные изменения.
Полимеразная цепная реакция (ПЦР)
Это очень чувствительный тест ДНК, выявляющий малейшие генные изменения, которые невозможно увидеть при помощи микроскопа, даже если в образце присутствует малое количество лейкозных клеток.
Люмбальная пункция (спинномозговая пункция) в диагностике лейкоза острого лимфобластного в больницах Израиля
Люмбальная пункция выявляет лейкозные клетки в спинномозговой жидкости (ликворе), окружающей головной и спинной мозг. Лейкоз может распространиться на данные области, для проверки удаляют образец ликвора.
При проведении теста пациент может находиться в положении лежа на боку или сидя. Врач обезболивает нижнюю часть спины вдоль позвоночника. Жидкость извлекает, помещая малую полую иглу между костями позвоночника и в область вокруг спинного мозга.
Также люмбальную пункцию назначают для введения химиопрепаратов в ликвор, чтобы предотвратить или лечить распространение лейкоза на область спинного и головного мозга.
Биопсия лимфатического узла
Данный вид диагностики редко требуется для постановки диагноза лейкоз, обычно достаточно анализов крови и костного мозга.
В ходе проведения процедуры рассекается кожа для удаления всего лимфатического узла или его части. Если узел располагается вблизи поверхности кожи, применяется местная анестезия, когда внутри грудной клетки или брюшной полости – используется общий наркоз. Эксцизионная биопсия предполагает удаление всего лимфатического узла, инцизионная – его сегмента.
Методы медицинской визуализации в диагностике лейкоза острого лимфобластного в Израиле
Данные способы обследований используют рентгеновские лучи, ультразвук, магнитные поля, радиоактивные частицы для получения изображений внутренних органов. Поскольку лейкоз не образует опухоли, эти методы не являются столь полезными, как при других видах онкологии.
Их применяют для выявления инфекции или других каких-то проблем, иногда – для установления степени заболевания, если есть подозрения на распространение недуга за пределы костного мозга и крови.
Рентгеновские методы
Рентгенограмму грудной клетки выполняют, когда предполагают наличие инфекции в легких, либо для диагностики увеличенных лимфатических узлов.
Компьютерная томография
Данный вид диагностики является одним из видов рентгеновский исследований. КТ создает изображения поперечного сечения организма. От обычного рентгена отличается тем, что визуализирует состояние мягких тканей, к примеру, внутренних органов.
КТ могут назначать, если врач подозревает наличие лейкозных клеток, к примеру, в селезенке. Обследование поможет выявить увеличенные размеры лимфоузлов или каких-либо органов.
Могут применять контрастное вещество, его выпивают или вводят внутривенно с помощью инъекции.
Иногда КТ используют при биопсии для установления точной локализации, если есть подозрения на аномалии.
В ряде случаев КТ совмещают с ПЭТ с целью сканирования. Перед процедурой в кровь вводят радиоактивное вещество – фтордезоксиглюкозу или ФДГ (биологический аналог глюкозы) с низким уровнем радиоактивности. Для злокачественных клеток характерен быстрый рост, поэтому они поглощают в больших количествах глюкозу. Специальная камера помогает сформировать картину областей радиоактивности в организме. Данная процедура не часто требуется пациентам с диагнозом лейкоз.
Магнитно-резонансная томография
МРТ создает детальные изображения мягких тканей в организме, применяя сильные магниты и радиоволны. Часто используют контрастное вещество – гадолиний перед сканированием для усиления детализации.
МРТ – незаменимая процедура при обследовании головного и спинного мозга.
Ультразвуковая диагностика
Ультразвук при диагностике лейкоза в Израиле могут применять, чтобы выявить увеличенные органы (селезенку, почки, печень) и лимфатические узлы вблизи поверхности тела.
Сканирование костей
Данный вид диагностики является полезным, если имеют место боли в костях, вызванные инфекцией или злокачественными опухолями в костной ткани.
Перед проведением вводится радиоактивный препарат, накапливающийся в области поражения, которая будет рассматриваться с помощью особого типа камеры. Детализация в данном случае отсутствует, для ее получения обращаются к рентгену, МРТ.
Успешное лечение начинается с точной и достоверной диагностики. Достаточно высокий показатель больных лейкемией получают ошибочный диагноз. Специалисты по лабораторным/клиническим исследованиям в Израиле имеют большой опыт в диагностике лейкоза.
+ 972547771177




