Головной мозг является центральным отделом нервной системы человека, который контролирует, координирует и регулирует все процессы в организме, в том числе отвечает за поведение человека. Мозг находится в полости черепа, у разных людей масса его в среднем колеблется от одного до двух килограмм. Причем у мужчин мозг на 100 – 150 грамм тяжелее, чем у женщин. В возрасте от 20 до 60 лет вес мозга у конкретного индивида остается постоянным. Прямая зависимость умственных способностей человека от размера мозга не доказана. Головной мозг состоит из пяти функциональных областей: передний мозг, промежуточный, продолговатый, средний и задний мозг.
Если вы хотите получить квалифицированную медицинскую помощь и пройти лечение опухолей головного мозга в Израиле у лучших врачей, компания Tlv.Hospital предлагает свои услуги.
Если вы не нашли понимания и удовлетворения в российских клиниках, ваш случай врачи называют безнадежным, а терять драгоценное время вы не намерены, мы гарантируем, что израильская медицина сделает все возможное для улучшения вашего состояния, качества жизни.
В крупнейших клиниках Израиля существуют все возможности для лечения онкологических больных. Здесь накоплен мощный потенциал:
- Профессиональные кадры, прошедшие стажировку в ведущих больницах Европы.
- Новейшее оборудование, которым располагают немногие клиники мира.
- Революционные лекарственные формулы, разработка которых ведется в научных лабораториях израильских госпиталей.
- Передовые терапевтические технологии, авторские схемы лечения.
Наш сервис - официальный партнер израильской Ассоциации компаний медицинского туризма. Мы обеспечим быстрое решение ваших вопросов по оформлению в ведущие клиники Израиля по минимальным ценам. Соблюдая интересы наших клиентов, мы ведем честную и прозрачную деятельность с официальным заключением договора на оказание услуг.
При поступлении в госпиталь Израиля каждый пациент проходит обязательную диагностику. Определить тип, стадию болезни, степень злокачественности опухоли помогут новые методики, оборудование и врачи высокого класса. Диагностику выполняют в кратчайшие сроки, ниже приведена стоимость ряда процедур:
- Консультация онколога – 600 $.
- Консультация нейрохирурга – 560 $.
- МРТ – 1670 $.
- Анализ крови на свертываемость – 80 $.
- Биохимический анализ крови – 280 $.
- Анализ крови-функции щитовидной железы -186 $.
- КТ – 550 $.
- Электромиография конечностей – 490 $.
- Допплер сосудов шеи– 480 $.
- Исследование полей зрения – 235 $.
Виды обследования индивидуально назначает врач. После постановки точного диагноза и получения результатов назначается лечение, ниже обозначены следующие расценки:
- Гистопатологическое исследование удаленного биопата – 1170 $.
- Подготовка к операции (консультация с анестезиологом, ЭКГ, рентгенограмма) – 260 $.
- Краниотомия – 34 000 $. В стоимость операции по удалению опухоли входит оплата аренды операционной, расходного материала, гонорары хирургов и операционной бригады, пребывание в реанимации - 1 сутки, в стационаре – трое суток.
- Химиотерапия – 1080 $ (за сеанс).
- Лучевая терапия – 10 000 $.
Чтобы более получить более подробную информацию, заполните форму запроса.
О заболевании
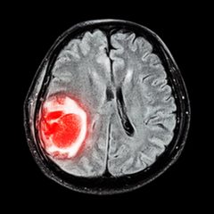
Опухоль головного мозга – это доброкачественное или злокачественное внутричерепное новообразование, возникающее в результате аномального деления клеток тканей самого мозга, клеток его оболочек или тканей черепных нервов. Другая причина опухолей мозга – метастазирование первичной опухоли на другом органе. В практике самыми распространенными являются нижеперечисленные виды опухолей в головном мозге:
Нейроэпителиальные опухоли, встречаются с частотой 60 % (астроцитома, глиома, эпендимома);
- Опухоли мозговых оболочек (менингиома);
- Опухоли нервов черепа (невринома);
- Опухоль гипофиза (аденома гипофиза);
- Метастазирование внемозговых опухолей;
- Дизэмбриогенетические опухоли.
Перечисленные опухоли подразделяются на доброкачественные новообразования или злокачественную онкологию. Лечение опухоли головного мозга в Израиле проходит успешно, несмотря на разновидность.
В зависимости от характера и участка локализации опухоли в мозгу наблюдаются клинические симптомы, перечисленные ниже:
- Нарушение памяти;
- Нарушение чувствительности;
- Потеря или нарушение слуха;
- Нарушение речи;
- Нарушение зрения;
- Нарушение распознавания предметов, речи, текстов;
- Эмоциональные сдвиги;
- Нарушение интеллекта;
- Психические нарушения;
- Нарушение координации;
- Гормональные сбои;
- Вегетативные расстройства;
- Двигательные нарушения;
- Затяжные головные боли;
- Беспричинная рвота и тошнота.
Наличие одного или нескольких симптомов из списка является серьезным основанием для прохождения обследования головного мозга. Лучше всего диагностируют и лечат опухоль головного мозга в Израиле.
Диагностика опухолей мозга в Израиле
Диагностика опухоли мозга в Израиле осуществляется с применением самого современного оборудования и новейших методик исследования. Для стопроцентного подтверждения диагноза больницы Израиля используют целый комплекс исследований:
- Компьютерная томография;
- МРТ;
- Рентген головы;
- Ангиография;
- Позитронно-эмиссионная томография;
- Биопсия и т.д.
В большинстве случаев для получения достоверного диагноза достаточно результатов магнитно-резонансной терапии и компьютерной томографии. Дополнительные обследования назначаются на усмотрение лечащего врача. Компания Tlv.Hospital сотрудничает с самыми прогрессивными медицинскими учреждениями в Израиле. Мы готовы организовать для вас лечение в Израиле на высшем уровне.
Лечение опухолей головного мозга в Израиле
Если по результатам обследования был подтвержден диагноз, лечение опухоли головного мозга в Израиле является приоритетным направлением борьбы с недугом. Лечение опухолей мозга в Израиле отличается очень высокой эффективностью. В клиниках работают отличные врачи высшей квалификации, которые постоянно повышают уровень своего мастерства, осваивают новейшие методики лечения со всего мира. Все клиники прекрасно оснащены модернизированным оборудованием.
Для каждого пациента врачи разрабатывают индивидуальную программу лечения опухолей головного мозга. Для этого учитывается множество факторов: место локализации опухоли, ее вид, размеры, а также возраст пациента и его состояние здоровья в целом. Чаще всего для лечения опухоли головного мозга применяется хирургическое вмешательство. Известно, что нейрохирургия в Израиле имеет очень высокий уровень, потому наблюдается чрезвычайно высокий процент успешных операций по устранению опухолей мозга.
К основным методам лечения опухолей мозга в Израиле относится:
- Хирургическая операция. Операция на мозг предполагает вскрытие черепной коробки для последующего удаления новообразования. Использование МРТ или КТ-навигатора позволяет максимально точно удалить пораженные ткани. При этом травматизм здоровых тканей мозга минимален.
- Химиотерапия. Для борьбы с опухолью используется курс медикаментов.
- Лучевая терапия. Применяется для торможения роста раковых опухолей. Облучение бывает наружное и внутреннее.
- Стереотаксическая радиохирургия. Облучение нацелено точно на опухоль, не задевая здоровые участки мозга.
Для лечения опухоли мозга в Израиле при необходимости используется комбинация нескольких методов.
Лечение невриномы слухового нерва в Израиле
Невриному слухового нерва также называют акустической невриномой, вестибулярной или акустической шванномой. Новообразование зарождается в шванновских клетках (жировых), покрывающих нерв. Для невриномы характерен очень медленный рост, часто опухоль обнаруживают, когда ее величина достигает больших размеров.
По мере своего развития невринома оказывает давление на слух и равновесие, провоцируя головокружение и глухоту на пораженной стороне. Часто также отмечают слабость лицевой мускулатуры и онемение щеки. Увеличиваясь, шваннома может блокировать поток лимфатической жидкости, став причиной гидроцефалии. Это редкий симптом, в настоящее время у большинства людей диагностируют и лечат болезнь прежде, чем это происходит.
Лечение невриномы в Израиле осуществляется командой высококвалифицированных врачей, которые специализируются в области терапии опухолей у основания черепа.
Программа лечения опухоли головного мозга в Израиле определяется размером шванномы, когда ее диагностируют. Она может включать:
- Мониторинг, который осуществляется, если новообразование – небольшого размера, не требует лечения в настоящее время. Врач назначает постоянные обследования с помощью МРТ. Этот метод также носит название - бдительное ожидание.
- Лучевая терапия. Если невринома – небольшая, возможно также лечение с помощью стереотаксической лучевой терапии или радиохирургии. Возможным нежелательным последствием является повреждение нервов, которые могут появиться спустя несколько месяцев или лет.
- Хирургию с последующим мониторингом или радиотерапией.
Когда рекомендуется хирургия, операцию обычно проводит нейрохирург и хирург совместно. Существуют различные виды оперативных вмешательств, оптимальные варианты обсуждаются с пациентом.
Применяется также микрохирургия, для которой характерен меньший риск нарушения слуха, однако большая вероятность повреждения нерва, контролирующего мышцы лица. Под общим наркозом через отверстия в черепе хирурги удаляют невриному. После такого хирургического вмешательства существует риск лицевого паралича, проблем с речью и глотанием, сухости и боли в области глаза на пораженной стороне. Иногда физиотерапия и электростимуляция могут помочь облегчить эти проблемы.
Если опухоль удалось полностью резецировать, врач может предложить лучевую терапию. Как правило, это стереотаксическая радиотерапия или радиохирургия. В основном – 1-6 сеансов.
Когда невринома очень медленно растет, онколог, как правило, рекомендует бдительное ожидание с регулярным сканированием посредством МРТ.
Нейрофибрамотоз 2-типа
Иногда шванномы развиваются на обеих сторонах – при генетическом заболевании – нейрофиброматозе второго типа. Эти опухоли лечат с помощью хирургии. К сожалению, почти во всех случаях человек впоследствии остается полностью глухим. Операция откладывается до тех пор, пока это сделать возможно (сохраняется слух).
Лечение опухоли головного мозга в Израиле - краниофарингиомы
Краниофарингиому чаще диагностируют у детей, подростков и молодых людей. Эти опухоли развиваются у основания черепа, чуть выше гипофиза. Как правило, краниофарингиомы не распространяются, но возникают вблизи важных структур головного мозга, вызывая проблемы, пока они растут. Краниофарингиомы способны спровоцировать изменения в уровне гормонов, нарушения зрения. У детей с данной опухолью могут быть нарушения, связанные с весом и ростом.
Первым методом, который используется при данном лечении опухолей мозга в Израиле, является удаление максимально возможного объема краниофарингиомы. Некоторые новообразования заполнены жидкостью. Их называют кистозными, и обычно нет возможности их полностью резецировать. Хирург может удалить часть опухоли; дренировать краниофарингиому.
После операции возможно проведение лучевой терапии. В некоторых случаях, к примеру, если опухоль маленького размера, врач может предложить стереотаксическую радиотерапию.
Когда краниофарингиома возвращается после лечения, назначают лучевую терапию, если до этого данный метод не применяли. Облучение может замедлить рост опухоли и удерживать ее под контролем.
После данного лечения опухолей мозга в Израиле требуется дальнейшее наблюдение у нейрохирурга, онколога и эндокринолога в течение нескольких лет. Это необходимо для проверки возможного рецидива.
Лечение опухоли головного мозга в Израиле - эпендимомы
Эпендимома развиваться в головном или спинном мозге. Она может быть низкой и высокой степени злокачественности. Эпендимома способна давать вторичные очаги в окружающую мозг жидкость и другие области головного и спинного мозга. У детей данный вид опухоли наиболее часто развивается в мозжечке.
Основной метод лечения эпендимомы в Израиле – хирургия, резекция максимально возможного объема опухоли. Иногда врач полностью может удалить эпендимому. После операции предлагается радиотерапия, чтобы уменьшить вероятность возврата болезни.
Если отсутствуют признаки эпендимомы в спинномозговой жидкости, облучение проводят в зоне, где находится опухоль. Если злокачественные клетки обнаруживают, радиотерапию выполняют на всю область головного и спинного мозга.
При рецидиве эпендимомы может быть предложена стереотаксическая лучевая терапия, чтобы сократить величину новообразования, или химиотерапия. Данные методы замедляют развитие опухолевого процесса и облегчают проявления болезни.
Врач определит точный план лечения опухоли головного мозга в Израиле, который может включать любой из нижеперечисленных препаратов:
- Карбоплатин
- Цисплатин
- Циклофосфамид
- Этопозид
- Ломустин
- Метотрексат
- Винкристин.
С помощью нашей компании – медицинского сервиса «Tlv.Hospital» - лечение в Израиле пройдет спокойно, комфортно, оперативно и качественно, будет соответствовать четкому графику диагностики и терапии. Лучший выбор для иностранного пациента – помощь медицинского провайдера.
Лечение детей в возрасте до 3-х лет
Детям в возрасте до 3-х лет назначают химиотерапию вместо облучения после операции. Онкологи не рекомендуют лучевую терапию для данной возрастной группы, поскольку отмечается повышенный риск развития долгосрочных побочных эффектов. Таким образом, применяется химиотерапия для контроля заболевания. Как правило, лечение проводится каждые 8 недель в течение года.
Лечение опухоли головного мозга в Израиле - глиомы
Под названием глиома сгруппировано несколько типов опухоли головного мозга:
- Астроцитома.
- Мультриформная глиобластома.
- Олигодендроглиома.
- Эпендимома.
Рассмотрим, как проводится лечение астроцитомы и глиобластомы у взрослых в израильских клиниках.
Лечение астроцитомы в Израиле
Астроцитома может иметь как медленный рост, так и быстрый. Программа терапии будет определяться такими факторами, как:
- Степень злокачественности новообразования.
- Возможным объемом резекции.
- Положением опухоли в головном мозге.
- Возможными последствиями астроцитомы для здоровья.
-
Возрастом. Лечение детей отличается от лечения взрослых, кроме того, отмечается лучший прогноз.
Лечение астроцитомы низкой степени злокачественности в Израиле
Иногда опухоли растут очень медленно и не нуждаются в лечении, если не вызывают симптомов. В таких случаях предпочтение отдается мониторингу.
Назначается регулярное обследование с помощью МРТ. Если развитие новообразования протекает очень медленно, терапия может не потребоваться в течение нескольких месяцев или даже лет. К примеру, часто пожилым людям не требуется лечение.
Если опухоль растет быстрее, хирургия применяется в большинстве случаев лечения астроцитомы. Примерно половине больных с опухолями низкой степени злокачественности требуется операция в течение 2-3 лет. Во время оперативного вмешательства (циторедукции) хирург удаляет столько злокачественного процесса, сколько возможно. В некоторых случаях пациенту за 3 часа до операции дают препарат Gliolan (5-ALA), который очерчивает границу опухоли, и позволяет хирургу безопасно ее удалить.
Когда астроцитому полностью или почти полностью резецируют, дальнейшее лечение может больше не требоваться. Далее будет применяться метод – бдительное ожидание и регулярные проверки с помощью МРТ. Либо врач может рекомендовать лучевую терапию в следующих случаях:
- Пациенту больше 40 лет.
- Опухоль осталась большого размера.
- У больного отмечается общая слабость.
Если в опухолевых клетках находят ген 1p19q, врачи могут порекомендовать сначала химиотерапию вместо облучения.
Когда после операции остаются медленно растущие опухоли, может потребоваться много лет, чтобы возникли симптомы. Почти половина пациентов с частично удаленной астроцитомой живут 10 лет и более после лечения опухоли мозга в Израиле с помощью хирургии и лучевой терапии.
Если астроцитома возвращается и возобновляет рост после лечения, врач может рекомендовать химиотерапию или лучевую терапию.
Лечение астроцитомы высокой степени злокачественности
Эта группа включает анапластическую астроцитому и мультиформную глиобластому.
Хирургия обычно используется, чтобы удалить максимально возможный объем опухоли. Может быть применена капсула Gliolan (5-ALA) за несколько часов до операции, чтобы четко визуализировать края опухоли. Это может позволить хирургу резецировать несколько астроцитом.
Операция часто сопровождается лучевой терапией или химиотерапией.
Радиотерапия не излечивает от рака, но с ее помощью контролируют рост опухоли. Лечение выполняется пять раз в неделю на протяжении нескольких недель. Если длительный курс не является подходящим, может быть предложен более короткий вариант - в течение 2-х недель, либо каждый день или через день. Основная задача данного лечения опухоли мозга в Израиле – замедлить ее рост.
Импланты с кармустином представляют собой особый тип химиотерапии для глиом высокой степени злокачественности, если 90% и более ее объема может быть удалено посредством оперативного лечения. Хирург помещает импланты в мозг во время операции. Это процедура проводится только нейрохирургами специализированных клиник в Израиле, где МРТ применяется с целью прогнозирования, что будет удален достаточный объем астроцитомы. Импланты увеличивают продолжительность жизни, однако могут стать причиной неприятных побочных эффектов.
После удаления опухоли некоторым людям назначается химиопрепарат темозоломид наряду с лучевой терапией в течение нескольких месяцев. Другой вариант – схема PCV, включающая прокарбазин, ломустин (CCNU) и винкристин.
При рецидиве может проводиться операция по удалению большей части астроцитомы, если это возможно. Либо это будет лучевая терапия, химиотерапия или их сочетание.
Лечение глиомы ствола мозга в Израиле
Глиома может возникнуть в стволе головного мозга, что случается редко. Иногда возможно взять образец ткани, но опухоль не может быть удалена. Ствол мозга – это зона, куда слишком рискованно вторгаться, даже делать биопсию. В этом случае врач общается с пациентом о вероятном диагнозе на основании МРТ.
Основное лечение – лучевая терапия. К сожалению, она не может избавить полностью от глиомы. Однако замедляет рост и помогает уменьшить симптомы у большинства людей.
Лечение гемангиобластомы в Израиле
Гемангиобластома развивается в клетках кровеносных сосудов, часто растет очень медленно. Однако она способна вызывать внезапные симптомы, блокируя циркуляцию жидкости вокруг мозга и провоцируя гидроцефалию. Обычно опухоль находится в одной области и не склонна распространяться в окружающие ткани. Таким образом, ее почти всегда можно удалить с помощью хирургии. Как правило, в большинстве случаев гемагиобластому можно резецировать полностью.
Но иногда возникает несколько очагов в головном или спинном мозге. Однако существует возможность успешного удаления множественных опухолей.
Также операцию могут повторить, если гемангиобластома возвращается вновь после терапии.
Иногда опухоль врастает в окружающую ткань мозга или в область, которую трудно оперировать, к примеру, в ствол мозга. Лучевую терапию проводят в следующих случаях:
- Гемангиобластому можно только частично удалить.
- Наблюдается рецидив.
Также радиотерапию рекомендуют, если пациент недостаточно здоров для проведения операции, например, при проблемах с легкими или сердцем.
При гемангиобластоме стереотаксическая лучевая терапия может применяться в качестве основного метода лечения опухоли мозга в Израиле. Этот тип радиотерапии является очень точным. Подходит ли он пациенту, будет зависеть от размера и положения опухоли. Наиболее часто его применяют для небольших гемангиобластомах, а также при рецидиве.
Иногда данный вид опухоли - следствие генетического заболевания – синдрома Гиппеля Линдау. У людей с этим заболеванием отмечается высокий риск развития опухолей глаза, почки и надпочечника.
Применение новейших методов в Израиле позволяет свести до минимума возникновение побочных эффектов. Однако полностью исключить их, к сожалению, невозможно. Большинство побочных эффектов проходит после окончания процесса лечения. Тут большое значение имеет эффективная программа реабилитации.
Онлайн видеоконсультация с ведущими израильскими специалистами :
Низкая стоимость, Кратчайшие сроки.
Подробно о преимуществах онлайн видеоконсультации.
+ 972547771177










