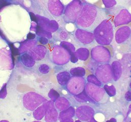
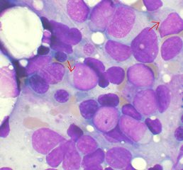
Новый тип иммунотерапии подает надежды в предотвращении случаев острого миелоидного лейкоза (ОМЛ), которые повторяются после лечения. Небольшое клиническое исследование Школы медицины Вашингтонского университета свидетельствует о том, что некоторые «естественные киллеры» (NK-клетки), активируемые в лабораторных условиях, могут помочь в уничтожении раковых клеток.
Натуральные киллеры представляют собой тип иммунных клеток, которые могут распознавать и атаковать опухолевые клетки и клетки, которые были заражены вирусами. Ученые смогли сделать их еще более сильными в борьбе с лейкемией.
После изменения в лаборатории NK-клетки вводились в организм участников. На терапию отреагировали пять человек из девяти. Четверо больных достигли полной ремиссии – у них не наблюдалось никаких признаков лейкоза в течение, как минимум, одного месяца. Один участник достиг частичной ремиссии, а остальные четыре - не ответили на терапию. Самая продолжительная ремиссия длилась полгода. Следует заметить, что средняя длительность жизни больных с прогрессирующим острым миелоидным лейкозом, который не реагирует на терапию, составляет около 3 месяцев.
Новое лечение было разработано учеными Вашингтонского университета. Исследователи заявили, что реакция на терапию пяти из девяти пациентов – это улучшение, по сравнению с результатами двух других аналогичных испытаний, анализировавших измененные естественные киллеры у пациентов с ОМЛ, выявленные во время лечения. В предыдущих исследованиях натуральные киллеры были активированы другим способом, и только 1 пациент из 15 ответили на лечение. Тем не менее, эти два исследования помогли доказать безопасность естественных киллеров у больных с ОМЛ.
Ученые отметили, что полученные результаты являются многообещающими. Большинство участников этого исследования были пожилого возраста и даже не являлись кандидатами для традиционной трансплантации костного мозга из-за побочных эффектов, связанных с ним. Они имели крайне тяжелую форму заболевания и исчерпали все варианты лечения, выбрав участие в клиническом испытании пребыванию в хосписе, клинике для безнадежных больных.
По материалам medicalnewstoday.com
+ 972547771177





