Избыточный вес и ожирение связаны с развитием нарушения кровоснабжения мозга. Однако новое исследование показывает, что лишние килограммы по-разному влияют на некоторые виды инсульта.
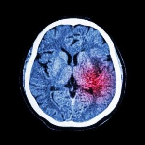
При прекращении кровоснабжения части мозга начинают умирать. Долгосрочные последствия инсульта зависят от того, насколько большой была площадь повреждения.
Острое нарушение кровоснабжения мозга является основной причиной смерти в США, забирая жизни 130 000 людей каждый год. В среднем один американец умирает от инсульта каждые 4 минуты.
Эта шокирующая статистика является причиной того, почему данное заболевание так часто становится целью различных медицинских исследований. Понимание факторов риска и влияния различных типов инсульта на людей может спасти множество жизней.
Виды инсульта
- Ишемический инсульт (инфаркт мозга) встречается в 87% случаев. Он возникает при прекращении кровоснабжения мозга, вызванного закупоркой сосуда.
- Геморрагический инсульт. Наступает при кровоизлиянии в мозг, причиной которого в большинстве случаев является высокое кровяное давление.
- Транзиторная ишемическая атака или микроинсульт возникает при временной закупорке сосуда. Ее обычно воспринимают как предупреждающий знак.
Лишний вес, ожирение и инсульт
Недавнее исследование, опубликованное в журнале «Neurology», определило распространенность различных видов инсульта среди женщин с лишним весом или ожирением.
Ученые проанализировали данные о 1,3 миллионе представительниц слабого пола, проживающих в Великобритании. Средний возраст участниц составил 57 лет. В течение 12-летнего периода наблюдения у 20 549 из них случился инсульт.
Из участниц со здоровым весом и индексом массы тела (ИМТ), составляющим 22.5-25, у 0.7% случился ишемический инсульт, и у 0.5% - геморрагический.
Из 228 274 женщин с ожирением (ИМТ 30 и выше) у 1% наблюдался инфаркт мозга, а 0.4% пострадали от геморрагического инсульта.
Исследование также показало, что каждое увеличение ИМТ на 5 единиц повышало риск ишемического инсульта на 21%.Но при этом каждое повышение ИМТ на 5 единиц снижало вероятность геморрагического инсульта на 12%.
Ученые отметили, что ожирение является существенным фактором риска этого заболевания для всех возрастов, а повышенный ИМТ не может защитить человека от нарушения кровоснабжения мозга.
По материалам medicalnewstoday.com
- Войдите, чтобы оставлять комментарии
+ 972547771177






